Sending either your traditional or digital case to our lab takes just a couple of minutes because everything you need is compiled in one convenient location. We accept files from all major intraoral scanners.
Traditional Case Digital CaseOur experienced consultants are always happy provide support and solutions to any of your queries. Chat with our experts to understand ++more about our products and services.
If your clinic falls in our local zone, you can schedule a pick up with our delivery drivers at no extra charges.
The vision of the company is to empower practices to simplify and deliver high quality prosthetic solutions. Digital prosthesis manufacturing is the state of the art standard of care. 3dent dds is a confluence of ideas from clinical practice, laboratory experience and technical expertise. It aims to mitigate the shortfalls in the current day laboratory support.

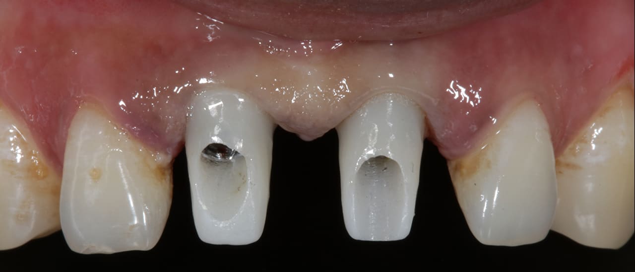
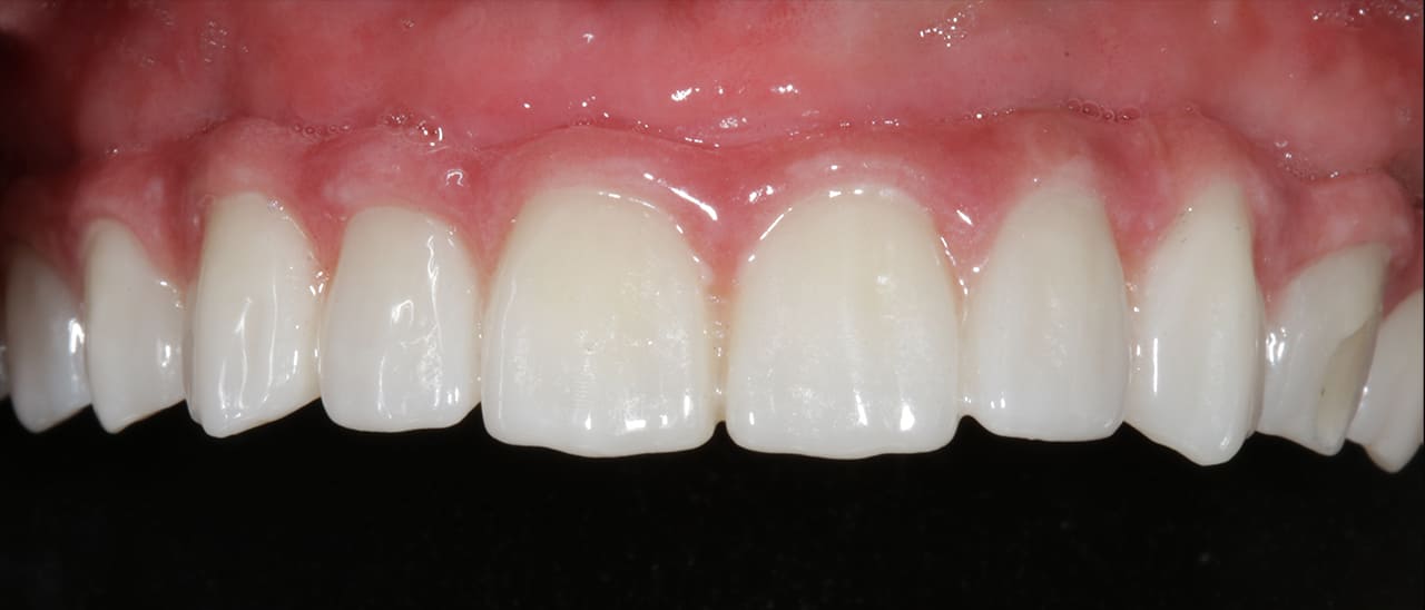
Our professional team of Dental technicians cover all aspects of crown and bridges from simple monolithic crowns to complex long span bridges in variety of materials. We guarantee you restorations unmatched in aesthetics as well as strength.
Read MoreThe extremely aesthetic and versatile veneers that we make are excellent at covering stained teeth or dark dentin. They are best way to achieve naturally beautiful smiles with the greatest preservation of tooth structure possible.
Read MoreAt our prosthetic lab, we are constantly striving to maintain high standards of fabrication by continuously adapting to new techniques. We offer a complete range of full and partial, removable prosthesis while keeping in mind the comfort convenience and care of your patient.
Read MoreWe use latest technology to help you offer planned tooth movement with virtually invisible and removable aligners.
Read MoreWe provide a wide variety of custom abutments using latest CAD-CAM systems. Our skilled technicians are trained enough to bridge the gap between intuition and evidence, thus providing you with predictable results.
Read MoreAll our night guards and day splints are constructed to your occlusal plane specifications on the upper or lower arch.
Read MoreUsing patient photography and careful aesthetic treatment planning, designing the perfect smile for your patient can be achieved with the most natural outcome possible.
Read More